
21 Oct Hiperplasia prostática en perros
La hiperplasia prostática en perros es una de las afecciones más comunes en machos adultos y mayores. Aunque en muchos casos pasa desapercibida en sus fases iniciales, puede ocasionar problemas importantes de salud si no se detecta y trata a tiempo.
En este artículo te explicamos qué es la próstata, cómo se desarrolla esta patología, qué síntomas produce y qué tratamientos existen para mantener la calidad de vida de tu perro.
¿Qué es la próstata en los perros?
La próstata es una glándula sexual presente en los perros machos, situada junto al cuello de la vejiga urinaria, justo en el borde anterior del pubis.
Su función principal es producir un líquido rico en nutrientes que forma parte del semen, el cual sirve de alimento y protección para los espermatozoides durante la eyaculación.
El tamaño y la función de esta glándula están determinados por las hormonas sexuales masculinas, principalmente la testosterona. Por ello, su desarrollo y funcionamiento dependen directamente del estado hormonal del perro.

¿Qué es la hiperplasia prostática benigna en perros?
La hiperplasia prostática benigna (HPB) es una condición caracterizada por un aumento del número y tamaño de las células de la próstata. Este crecimiento se debe a la estimulación hormonal prolongada a lo largo de los años.
El término “benigna” indica que no se trata de un proceso canceroso, sino de una alteración funcional y estructural del tejido prostático.
La HPB aparece de forma progresiva en la mayoría de los perros no castrados a partir de los cinco o seis años de edad. En las primeras fases no produce síntomas, pero con el tiempo puede llegar a provocar molestias o complicaciones serias si no se trata.

Consecuencias de la hiperplasia prostática en perros
En fases iniciales, la hiperplasia prostática puede pasar desapercibida.
Conforme avanza, puede causar:
- Estreñimiento o dificultad para defecar.
- Desplazamiento de la vejiga, que puede caer dentro de la cavidad abdominal o una hernia perineal.
- Formación de quistes prostáticos.
Estas alteraciones predisponen al perro a:
- Infecciones urinarias.
- Incontinencia.
- Prostatitis o abscesos prostáticos.
Síntomas de hiperplasia prostática en perros
Durante las primeras fases, la hiperplasia prostática en perros suele ser asintomática. Por eso, la detección precoz depende de las revisiones veterinarias de rutina.
Cuando la enfermedad avanza, los tutores pueden notar una o varias de las siguientes señales:
- Lamido frecuente del pene o zona genital.
- Goteo de orina o líquido por el pene fuera de la micción.
- Dificultad o dolor al defecar.
- Estreñimiento o posturas forzadas al evacuar.
- Orina con sangre (hematuria) o dificultad para orinar.
- Dolor abdominal o en la parte baja del vientre.
- Cojera de las patas traseras sin causa aparente.
- Abultamiento o masa visible cerca del ano (posible hernia perineal).
- Disminución de la fertilidad o infertilidad.
Ante cualquiera de estos signos, es importante acudir al veterinario para realizar un examen prostático completo.

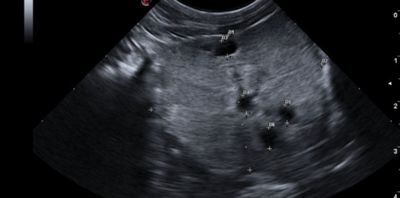
Pruebas diagnósticas para detectar hiperplasia prostática en perros
- Palpación rectal: permite evaluar el tamaño y consistencia de la próstata.
- Ecografía: detecta quistes o tumores y permite tomar muestras para biopsia.
- Radiografía abdominal: muestra la posición de la próstata, vejiga y colon.
- Análisis de sangre: determinación de enzimas como ALP o CPSE.

Tratamiento de la hiperplasia prostática en perros
El tratamiento depende del caso, pero el control hormonal es el más eficaz:
- Castración (quirúrgica o química).
- Uso de fármacos hormonales, antibióticos o antiinflamatorios cuando sea necesario.
- En casos graves, puede requerirse cirugía.
Los perros castrados pueden ser más propensos al cáncer de próstata, por lo que el diagnóstico precoz es esencial.
En nuestra clínica, aprovechamos la exploración física que realizamos previa a la vacunación para explorar este órgano. Y, a partir de los 8 años, aconsejamos un chequeo geriátrico anual, que incluya ecografía prostática.
Sin comentarios